Gaspar, E.B., et al. Adjuvant-driven antibody response to use cows as biofactories of anti-SARS-CoV-2 neutralizing antibodies in colostrum.
J Dairy Sci, 2025 Jan 30:S0022-0302(25)00060-8. PMID: 39892600
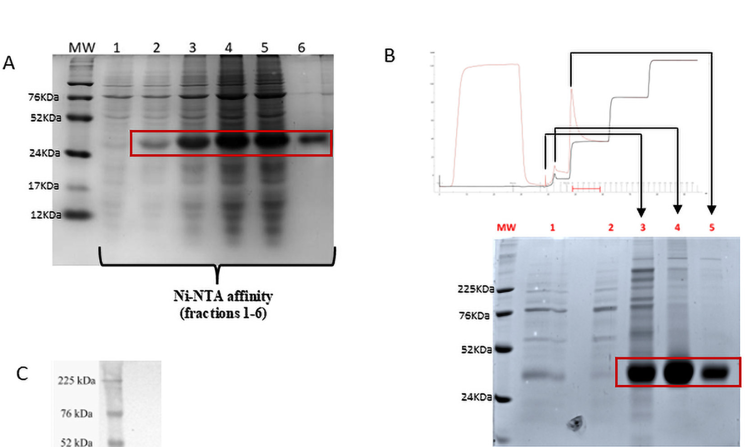
Bovine colostrum has the potential to serve as a source of neutralizing antibodies for preventing viral infections due to the evolutionary homology between bovine and human immunoglobulins. This study aimed to develop an optimized immunization schedule for cows to act as biofactories, producing hyperimmune colostrum with high-avidity and neutralizing activity against SARS-CoV-2.
Recombinant spike receptor-binding domain (RBD) from SARS-CoV-2 was adjuvanted with either saponin-based QuilA or aluminum hydroxide (Alum). Cows immunized with QuilA-adjuvanted vaccines induced a stronger immune response, produced significantly higher IgG, IgG1, and IgG2 titers compared to those receiving Alum or control formulations. The QuilA group also exhibited significantly higher viral neutralization titers.
The study findings indicate that vaccine formulations with QuilA can effectively enhance hyperimmune colostrum production, providing a cost-effective approach for passive immunization. These results support the potential application of hyperimmune colostrum in prevention and treatment strategies for various viral diseases.
Click here to access the full scientific paper.
Kinsey, C., et al. A Versatile Reversed-Phase Liquid Chromatography Charged Aerosol Detection Method for Streamlined Monitoring of QS-21 Content and Stability in Liposomal Adjuvant Formulations. https:// doi.org/10.26434/chemrxiv.15002275/v1. Posted on 21 April 2026 (this preprint has not been peer reviewed. Data may be preliminary)

